La vida es como un espejo: te sonríe si la miras sonriendo
En endodental cuidamos la salud de tu boca por eso te ofrecemos la mejor atención así como profesionales capacitados en todos nuestros servicios.
Eco Alamos
Paseo Villa Hermosa

Tratamientos Especializados
¿Necesitas Servicios Dentales?
Endodental Eco Alamos
2233-6327 / 5423-0582
Endodental Paseo Villa Hermosa
2233-6589 - 4295-0924
Horario de Apertura
Lun a Vie: 9:00 - 20:00
Ubicación
CC Ecocentro los Álamos, local LC 02
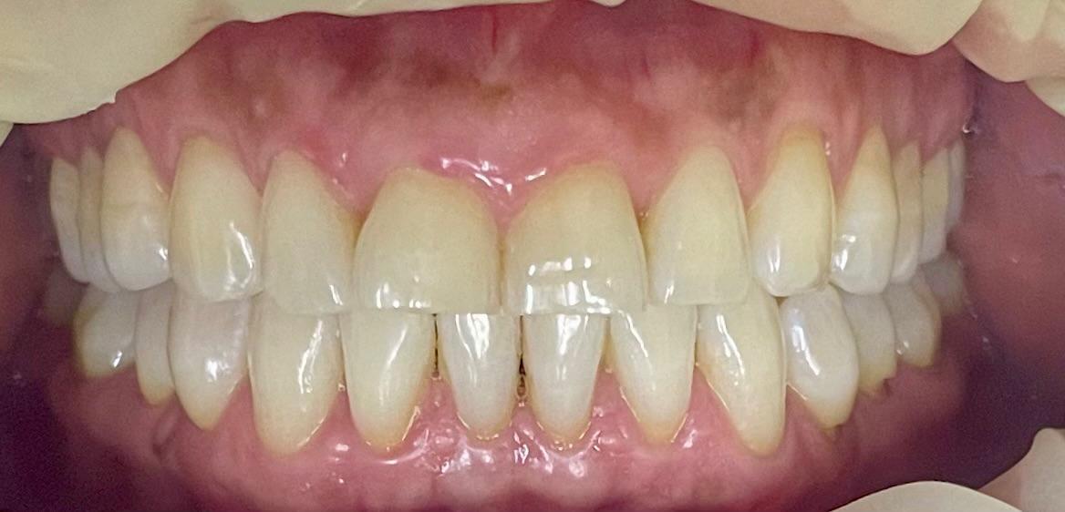
Clínica Dental Especializada en Endodoncia
En EndoDental, nos especializamos en tratamientos de endodoncia de alta precisión. Nuestro equipo de especialistas utiliza tecnología avanzada para proporcionar tratamientos indoloros y efectivos que salvan sus dientes naturales.
- Especialistas en endodoncia con amplia experiencia
- Tecnología de vanguardia para diagnósticos precisos
- Tratamientos mínimamente invasivos y confortables
- Atención personalizada centrada en el paciente
Servicios Dentales Especializados
En endodental cuidamos la salud de tu boca por eso te ofrecemos la mejor atención así como profesionales capacitados en todos nuestros servicios.
Endodoncia
Consiste en la extirpación de la pulpa dental y el posterior relleno y sellado de la cavidad pulpar con un material inerte.
Cirugías
Comunícate con nosotros para asesorarte sobre cirugías bucales.
Periodoncia
El tratamiento de la periodontitis consiste en eliminar el sarro que se acumula alrededor de los dientes, principalmente el que se forma por debajo de ellas encías. El objetivo del tratamiento es limpiar exhaustivamente y prevenir el daño de las piezas afectadas por la enfermedad periodontal.
Prótesis fijas y removibles
Asesorate sobre lo más conveniente para ti.
Puentes fijos
Un puente dental fijo o prótesis parcial fija es una buena alternativa para los pacientes que han perdido uno o varios dientes naturales.
Blanqueamiento clínico y casero
El Blanqueamiento Dental es uno de los procedimientos cosméticos más comunes y efectuados con más regularidad por los dentistas, logrando reducir varios tonos del color original, resultando en una dentadura más blanca y brillante.
Artículos Dentales Recientes
Manténgase informado sobre los últimos avances en salud dental y consejos para mantener una sonrisa saludable.
Excelencia en Cuidado Dental
Descubra por qué somos la clínica dental de confianza para miles de pacientes.
Especialistas Certificados
Nuestro equipo está formado por especialistas con amplia experiencia y formación continua.
Atención Personalizada
Cada paciente recibe un plan de tratamiento adaptado a sus necesidades específicas.
Tratamientos Sin Dolor
Utilizamos técnicas avanzadas para garantizar tratamientos cómodos y sin dolor.
Tecnología Avanzada
Equipamiento de última generación para diagnósticos precisos y tratamientos efectivos.
Lo Que Dicen Nuestros Pacientes
Descubra las experiencias de nuestros pacientes satisfechos con nuestros servicios dentales.
María García
"Excelente atención y profesionalismo. Me realizaron una endodoncia sin dolor y con resultados perfectos. El equipo es muy amable y las instalaciones modernas y limpias."
Carlos Rodríguez
"Llevaba años con miedo al dentista hasta que encontré EndoDental. Su enfoque sin dolor y la explicación detallada de cada procedimiento me hizo sentir cómodo. Ahora mi sonrisa luce increíble."
Laura Martínez
"Mi hijo tenía mucho miedo de ir al dentista, pero el equipo de EndoDental fue increíblemente paciente y amable. Ahora va sin problemas a sus revisiones. ¡Totalmente recomendable para niños!"
Reserve Su Cita Hoy
Estamos comprometidos a proporcionar el mejor cuidado dental para usted y su familia. Contáctenos hoy para programar su consulta.
Teléfono
Endodental Eco Alamos
2233-6327 / 5423-0582
Endodental Paseo Villa Hermosa
2233-6589 - 4295-0924
Horario
Lunes a Viernes: 9:00 - 20:00
Sábados: 9:00 - 14:00
Dirección
CC Ecocentro los Álamos, local LC 02
Solicitar Cita
Contáctenos directamente por WhatsApp para programar su cita de manera rápida y sencilla.
Horario de atención: Lun-Vie 9:00-20:00, Sáb 9:00-14:00
